GE Vivid E90 – De ce contează, cu adevărat, un ecograf premium în 2026
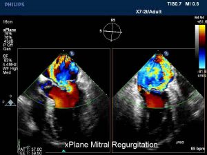
În cardiologie, diferența dintre o investigație bună și una excepțională nu se vede doar în „o imagine mai frumoasă”. Se vede în deciziile clinice pe care medicul le ia mai…
În cardiologie, diferența dintre o investigație bună și una excepțională nu se vede doar în „o imagine mai frumoasă”. Se vede în deciziile clinice pe care medicul le ia mai…
1. De ce un ecograf cardiovascular de top schimbă, concret, felul în care este evaluată inima În cardiologie, o parte importantă din decizii se sprijină pe imagistică. Când medicul trebuie…
Capitolul 1. De ce amețeala și „aproape leșinul” merită puse în context cardiologic, nu minimalizate În practică, amețeala, lipotimia (senzația că „se taie filmul”, fără pierderea completă a conștienței) și…
Capitolul 1 - Cauți cardiolog în Galați? Pentru cine caută cardiolog în Galați, una dintre opțiunile clare de pe hartă este Centrul Medical Maycor, fiind un reper de încredere pentru…
La Maycor - Cardiologie Galați, accentul nu este pus doar pe lista de servicii, ci pe un parcurs cardiologic coerent, în care pacientul înțelege de la început ce investigații sunt…
La Maycor, oferim inimii tale atenție, timp și tehnologie. De la primul consult și până la investigații avansate, îți punem la dispoziție un parcurs cardiologic complet – clar, sigur și…
Centrul Medical Maycor din Galați este un reper de încredere pentru pacienții care caută servicii de cardiologie la cele mai înalte standarde. Aici, echipa de cardiologi din Galați oferă consultații,…
Ecografia cardiaca sau ecocardiografia, una dintre cele mai importante si utilizate metode de imagistica, este o investigatie care dureaza aproximativ 15-20 de minute, prin care se vizualizeaza inima cu ajutorul…
Nou! Din aceasta luna in clinica Maycor se poate efectua verificarea stimulatoarelor cardiace, a defibrilatoarelor cardiace, ICD si stimulatoarelor pentru resincronizare cardiaca. Va asteptam cu drag! Echipa Maycor Galati
Centrul Medical Maycor e clinica de cardiologie din Galati care a investit intr-un ecocardiograf performant si anume in sistemul Philips iE33 xMatrix, care permite obtinerea de imagini 3D (tridimensional) si…